مركز الدليل الطبي بالشارقة

MOHAP ADVERTISEMENT LICENSE NO: 853IGN7D-020426

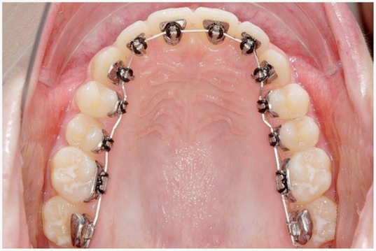
ابتسامة متناسقة مع تقويم الأسنان

اترك بياناتك وسيتم التواصل معك

أو تواصل مباشرة عبر

    ما هو تقويم الأسنان؟

    التقويم هو إجراء طبي وتجميلـي يساعد في علاج اعوجاج الأسنان ومشاكل انسداد الفكين، مما يحسن من صحة الفم والمظهر العام في آن واحد. يتم استخدام تقنيات حديثة مثل التقويم المعدني أو الشفاف لتصحيح وضع الأسنان بشكل تدريجي وصحي. بفضل المتابعة الدورية مع أطباء متخصصين، يضمن المريض الحصول على نتائج فعالة تمنحه ابتسامة أكثر تناسقاً وثقة.

    تصحيح الاعوجاج

    يمنح الأسنان تناسقاً أفضل ويحسن المظهر الجمالي

    تحسين النطق والمضغ

    يساعد على أداء وظائف الفم بشكل طبيعي وصحي

    نتائج طويلة الأمد

    يوفر ابتسامة متناسقة وصحة فموية أفضل تدوم لسنوات

    الدكتور المعالج

    د.ليث الحمداني

    خبرة أكثر من 20 عاما في علاجات التقويم وتحسين صحة الفم

    Call Now Button